
冰毒的主要成分是甲基苯丙胺,是一种人工合成的兴奋剂。外观为纯白结晶体,晶莹剔透,故被吸毒、贩毒者称为“冰”(Ice)。由于对人体的中枢神经系 统具有极强的刺激作用,且毒性剧烈,又称之为“冰毒”,有胶囊、粉剂、小块等多种形式。冰毒的精神依赖性极强,已成为目前国际上危害最大的毒品之一。 近年来,滥用冰毒在许多国家已经成为严重的社会问题。冰毒滥用对全身性的后果比较严重,在口腔中的表现常见后果之一就是龋齿(蛀牙),“冰毒牙”由此得名 。

吸冰毒成瘾者的牙齿很黑,着色和腐蚀严重,这种牙是没有办法治疗的。
根据《中国药物依赖性杂志》一文,上海市第二劳动教养管理所对在所劳教人员进行问卷调查及走访,调查显示,牙齿脱落的有182例,占调查总人数的 36.79%,其中牙齿脱落1-3颗的135例(占有牙齿脱落总数的74.2%),脱落4颗以上的45例(33.3%),口腔内仅剩1-2颗的就有2例(1.1%)。
人体中99%的体钙存在于骨骼和牙齿中,这部分钙与骨质疏松关系最为密切。长期滥用毒品可使内源性钙和尿钙丢失,加速负钙平衡,并增加人体对于钙的 需要量,因此容易发生骨质疏松。
毒品可对口腔粘膜和牙齿造成多重损害,毒品直接刺激上呼吸道粘膜形成粘膜的溃疡,造成口腔内菌群失调,出现牙龈出血等严重的炎症,进而牙龈萎缩、 牙齿松动,严重影响咀嚼功能。
吸毒刺激口腔黏膜上皮细胞异常增生,导致黏膜角质角质层逐渐增厚,对骨骼系统、免疫系统都造成危害,导致牙周病发生几率特别高,增加口腔感染的 风险,长期刺激口腔黏膜还会增加罹患口腔癌的机会。
吸毒也会造成口气重,影响交际,造成牙根暴露、牙齿松动等慢性炎症,抑制免疫功能!
1.为什么会产生“冰毒牙”?
首先冰毒本身具有大量酸类成分(蓄电池酸,肥料和家用清洁剂)会损坏牙齿,而吸食冰毒后会产生强烈的亢奋效果,且一般冰毒药效长达12小时左右, 在此期间使用者会渴望吃甜食(如碳酸饮料和糖果)也会造成牙齿磨损。冰毒成瘾者因为心瘾以及内心的情绪失常,会造成神经紧张产生磨牙等行为,造成牙齿的 过度磨耗。
吸毒者神经过度紧张、情绪失常、不注意个人卫生,可能会好几天都不注意牙齿清洁,从而引发牙周病等。“冰毒牙”的产生主要还是和冰毒本身有很大 的关系,其它的的原因只是起到了“辅助”作用。
2.冰毒牙的症状
干口症—唾液作为缓冲液,可以稀释我们饮食中的酸类。正常人一天分泌大约1升的唾液。冰毒让人唾液腺枯竭,当唾液分泌量减少的时候,口腔内的细菌 数量就会增加,加倍损坏牙釉质,最终出现龋齿。
牙隐裂—冰毒会使服用者感到焦虑、亢奋或紧张,从而导致磨牙。你能看到他们的牙齿上有明显的磨耗痕迹。有时候就算是吃一些很软的食物(如土豆泥 ),也会使服用者的牙齿出现隐裂。
龋齿—冰毒成瘾者会因为口干反应而渴望吃含糖量高的食物和饮品。这样,口腔内靠糖类为生的细菌会大量繁殖,并分泌酸性物质,使牙齿损坏更严重。 冰毒服用者的龋齿通常会从牙龈边缘发展到整个牙齿,前牙首当其冲。
牙周病—冰毒成瘾者通常不会定期做口腔检查,口腔保健的缺乏会引发牙周病。同时,牙齿和牙龈都需要血液来保持健康,冰毒使口腔组织的血管收缩, 血流量减少,最终导致口腔组织坏死。
伤口—用吸烟的方式吸入冰毒的人,会在嘴唇、牙龈、内颊侧或硬腭等处出现伤口或者烧伤痕迹。用鼻子吸入冰毒的人,会在咽喉后部出现烧伤痕迹。冰 毒的滥用会降低人抵御感染的能力和伤口自愈的能力。
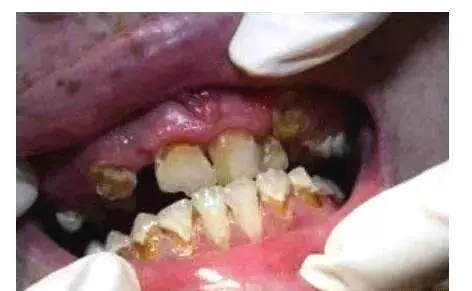
3.冰毒牙什么样?
冰毒牙的第一阶段
出现龋齿,口臭,牙龈红肿
冰毒牙的第二阶段
嘴唇上出现伤口,牙龈开始退缩,龋齿呈严重趋势
冰毒牙的第三阶段
龋齿发展到牙龈边缘以下,牙齿出现缺失,嘴唇的伤口越发明显
化学合成毒品都有一定的腐蚀性,“冰毒牙”只是最直观的外伤,吸毒对大脑中枢神经以及呼吸、消化系统的伤害也同样触目惊心。珍爱生命,远离毒品 真不是一句空洞的宣传口号,而是对自己人生的负责。
 
                         
            
文章评论